Anti-CSNK1A1 Recombinant Antibody Products
Loading...Anti-CSNK1A1 Products
Loading...-
- Species Reactivity: Human
- Type: Mouse IgG
- Application: WB, IHC, ELISA
-
- Species Reactivity: Human, Rat
- Type: Rabbit IgG
- Application: WB, IP
-
- Species Reactivity: Human
- Application: ELISA, WB
- Chicken Anti-CK1 alpha Polyclonal IgY (BRD-0798MZ)
-
- Species Reactivity: Bovine, Chicken, Horse, Human, Mouse, Pig, Rat
- Type: Chicken antibody
- Application: ICC, IF, IHC, WB
-
- Derivation: Phage display library
- Species Reactivity: Human
- Type: Rabbit IgG
- Application: WB
-
- Derivation: Mouse
- Species Reactivity: Human
- Type: Mouse IgG
- Application: WB, IHC-p, IF, ELISA
- Anti-CSNK1A1 Immunohistochemistry Kit (VS-0325-XY560)
-
- Species Reactivity: Human, Mouse, Rat
- Target: CSNK1A1
- Application: IHC
- Anti-Mouse CSNK1A1 Immunohistochemistry Kit (VS-0525-XY1718)
-
- Species Reactivity: Human, Mouse, Rat
- Target: CSNK1A1
- Application: IHC
- Anti-Human CSNK1A1 Immunohistochemistry Kit (VS-0525-XY1717)
-
- Species Reactivity: Human
- Target: CSNK1A1
- Application: IHC
Can't find the products you're looking for? Try to filter in the left sidebar.Filter By Tag
Our customer service representatives are available 24 hours a day, from Monday to Sunday. Contact Us
For Research Use Only. Not For Clinical Use.
Creative Biolabs is a leader in oncology and cell biology, and we are proud to provide outstanding anti-CSNK1A1 recombinant antibodies. Casein Kinase 1 Alpha 1 (CSNK1A1) is a serine/threonine kinase that is a master regulator of key signaling pathways and influences cell fate decisions. Our high-quality antibodies are essential for probing the function of CSNK1A1 in Wnt and p53 signaling and for exploring its role as a tumor suppressor in hematological malignancies.
CSNK1A1: A Key Kinase in Wnt and p53 Signaling
Casein Kinase 1 Alpha 1 (CSNK1A1) is a widely expressed serine/threonine protein kinase that belongs to the casein kinase 1 family. It is a key regulator of multiple cellular processes, including the Wnt signaling pathway, where it phosphorylates beta-catenin and targets it for degradation. Additionally, CSNK1A1 is involved in p53-mediated DNA damage response and regulation of circadian rhythm. It functions as a tumor suppressor and heterozygous deletion or inactivating mutations are a common event in certain hematological cancers, such as myelodysplastic syndromes (MDS) with del(5q).
Alternative Names
Casein Kinase 1 Alpha 1; Clock Regulator Kinase; EC 2.7.11.1; CKI-Alpha; CK1; Epididymis Secretory Sperm Binding Protein Li 77p; Casein Kinase I Isoform Alpha; Down-Regulated In Lung Cancer; CSNK1A1; Casein kinase I isoform alpha; CKI-alpha; CK1
Background
CSNK1A1 (Casein Kinase 1 Alpha 1) is a Protein Coding gene. Among its related pathways are S33 mutants of beta-catenin arent phosphorylated and NFAT and Cardiac Hypertrophy. Gene Ontology (GO) annotations related to this gene include transferase activity, transferring phosphorus-containing groups and protein tyrosine kinase activity. An important paralog of this gene is CSNK1A1L.
Enzymes, Metabolic proteins, Plasma proteins
Intracellular
Cell type enhanced (Suprabasal keratinocytes)
Low immune cell specificity
Low cell line specificity
Interacts with the Axin complex (PubMed:11955436). Interacts with TUT1, leading to TUT1 phosphorylation (PubMed:1409656). Interacts with FAM83H; recruits CSNK1A1 to keratin filaments (PubMed:23902688). Interacts with FAM83D (via N-terminus); in mitotic cells (PubMed:31338967).
Kinase, Serine/threonine-protein kinase, Transferase
Anti-CSNK1A1 rAb Products
Our anti-CSNK1A1 recombinant antibodies are designed for high specificity and sensitivity to reliably detect this important signaling kinase. Optimized for use in Western Blot of cell lysates, immunoprecipitation to study its substrates, and IHC to understand its expression patterns, these rAbs provide the precision needed for high-impact cancer research.
Table 1. Featured anti-CSNK1A1 recombinant antibody products at Creative Biolabs.
| Cat. No. | Product Name | Target Species | Host Species | Applications |
| ZG-0364F | Mouse Anti-CSNK1A1 Recombinant Antibody (ZG-0364F) | Human | Mouse IgG | WB, IHC, ELISA |
| VS3-FY416 | Recombinant Rabbit Anti-CSNK1A1 Antibody (clone R05-6C6) | Human, Rabbit | Rabbit IgG | WB, IP |
| VS7-HM781 | Mouse Anti-CSNK1A1 Recombinant Antibody (clone CBL184HM) | Human | Mouse IgG | WB, IHC-p, IF, ELISA |
Creative Quality Control
At Creative Biolabs, we are committed to supporting cancer research through high-quality reagents. We validate each batch of anti-CSNK1A1 recombinant antibody to ensure stringent quality control for purity, binding affinity, and consistent performance. You can rely on our rigorous testing to provide you with a dependable, high-quality reagent that meets the exacting needs of your study of complex signaling pathways.
Fig.1 WB analysis of anti-CSNK1A1 antibody
(Cat# ZG-0364F, Creative Biolabs).
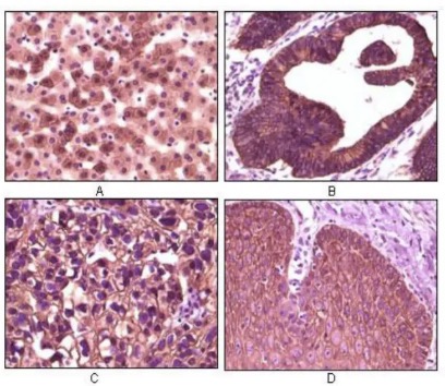
Fig.2 IHC analysis of anti-CSNK1A1 antibody
(Cat# ZG-0364F, Creative Biolabs).
Customer Reviews
rAb Production
Creative Biolabs is committed to advancing oncology research and for this purpose, we have developed state-of-the-art production platforms. Our anti-CSNK1A1 recombinant antibodies are expressed in systems optimized to ensure they faithfully recognize the native protein, providing a product with high biological relevance and activity.
Featured Anti-CSNK1A1 Recombinant Antibody Production Platforms
Fig.3 Milligram-scale anti-CSNK1A1 recombinant antibody production.
Fig.4 Gram-scale anti-CSNK1A1 recombinant antibody production.
rAb Modalities
Creative Biolabs is committed to meeting the diverse and evolving needs of cancer researchers. Our anti-CSNK1A1 recombinant antibodies are available in a range of customizable modalities so you can select the right tools to study this important tumor suppressor in your assays.
Fig.5 Full-length anti-CSNK1A1 recombinant antibody production and modalities.
Explore the function of CSNK1A1 in cell signaling and cancer with the help of Creative Biolabs’ recombinant antibodies. We stand out for our stringent validation process and exceptional consistency, offering you the right tools to study this important protein in hematological malignancies. Partner with us for quality that enables progress. Contact our specialists today.


Endometrial Cancer
Throid Cancer
p53 Signaling Pathway